金属アレルギー/アマルガム除去

03-3219-0525

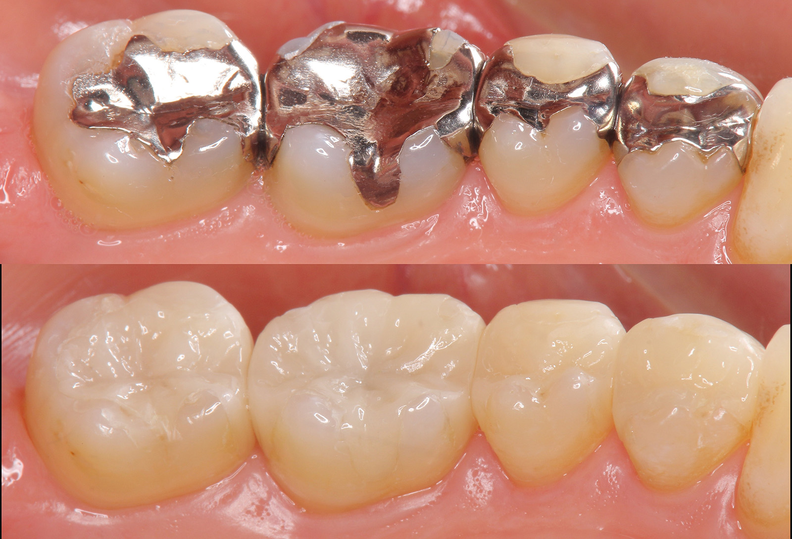
キービジュアル

銀歯原因
金属アレルギー
発症する危険性

「メタルフリー」の素材に置き換えることで、
症状の改善が期待できます。
水銀を含む「アマルガム」の除去も行っています。
お気軽にご相談ください。

銀歯と「金属アレルギー」

金属製のアクセサリーでかゆみや湿疹が出る方は、銀歯が原因の金属アレルギーの可能性があります。 銀歯の金属が唾液で溶け出し、体内でアレルゲンとなることで、口内炎が繰り返しできる・治りにくいなどの症状が現れることもあります。

放置すると皮膚炎や自己免疫疾患につながる恐れがあるため、当院では金属アレルギーの検査も実施しています。

気になる方はご相談ください。

当院の「金属アレルギー」治療

当院では、次のような流れで金属アレルギー治療を行います。

■STEP①検査

お肌の発疹や、お口の中の状態を確認します。金属アレルギーのテストも行います。

■STEP②診断

検査結果をもとに、医師が診断を行います。

■STEP③詰め物・被せ物の交換

体質に合わない金属が使われていた場合は、問題のない歯科材料に交換する治療を行います。

金属アレルギーを起こさない「メタルフリー」な歯科素材

当院では、次のような「メタルフリー」素材を用意しています。金属アレルギーの心配がないのはもちろん、審美性にも優れています

ジルコニアセラミック

ジルコニアは、耐久性・審美性ともに優れたセラミック素材です。身体に優しい陶器素材で、強度もあるので食いしばりの強い方にもお勧めしています。

オールセラミック

オールセラミックは、明るい天然歯のような色合いのセラミック素材です。ジルコニアに比べると耐久性は劣りますが、噛む力がかかりにくい場所であれば、一般的には問題ありません。

コラム水銀を含んだ「アマルガム」を除去します

アルマガムは水銀を含む金属で、かつて虫歯治療に広く使われていました。しかし、水銀の健康リスクや、見た目・安全性に優れた新素材(レジン・セラミックなど)の登場により、現在ではほとんど使われなくなりました。

患者さんの安心と審美性を重視する現代の歯科治療では、より安全で自然な素材が選ばれています。

ドイツやスウェーデンなどでは全面的に使用が禁止されています。
しかし日本では、1990年頃までは当たり前のように使われていました。その頃に虫歯治療を受けた方で、原因不明の頭痛やめまいがある方は、お口の中にアマルガムが入っているかもしれません。心当たりのある方は、ぜひご相談ください。
※2016年、アマルガムには保険が適用されなくなり、現在はほとんど使われていません。

初診「個別」相談へのご案内

当院では、患者さんが抱えていらっしゃるお口のお悩みや疑問・不安などにお応えする機会を設けております。どんなことでも構いませんので、私たちにお話ししていただけたらと思います。
ご興味がある方は下記からお問い合わせください。

ご予約・お問い合わせ

03-3219-0525

24時間受付中WEB予約

〒101-0051 東京都千代田区神田神保町
1-2-3水野ビル5F

東京メトロ「神保町駅」から徒歩3分
JR中央・総武線「御茶ノ水駅」から 徒歩5分