入れ歯

03-3219-0525

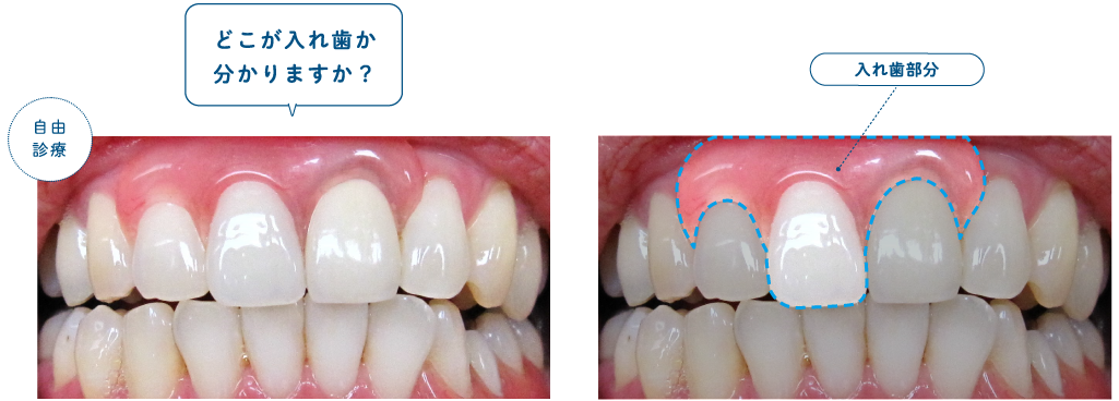
キービジュアル
認定医が担当

目立たない入れ歯
バルプラスト
専門に取り扱っています

19.8万円(税込)~

バルプラスとは75年以上の歴史がある、
ノンクラスプデンチャーのパイオニア
信頼の実績で40か国以上で使用されています。

金属のバネがない「ノンクラスプデンチャー」とは?

入れ歯が目立ってしまう主な原因は、支えとなる金属のバネ(クラスプ)にあります。この金属のバネを歯茎と自然に馴染むピンク色の樹脂に置き換えた入れ歯をノンクラスプデンチャーと言います。見た目が自然で、人前で話す機会が多い方や接客業に従事する方にも安心して使用いただけます。

さまざまなノンクラスプデンチャーメーカーが存在しますが、当院では1950年代にアメリカで開発された「バルプラスト」と呼ばれるメーカーを専門で取り扱っています。数あるメーカーの中からバルプラストを採用した理由をお伝えします。

世界で最も歴史のあるノンクラスプデンチャー

1950年代にアメリカで開発され、今や世界40か国以上で使用されている実績があります。歴史があり全世界の歯科医師が愛用しているということは、それだけの膨大な臨床データによる改善が繰り返されており、かつ、多くの患者さんに評価をされているということです。これまで当院でも他のメーカーを利用したことはありますが、様々な面でバルプラストが優れていました。

「修理・増歯」に対応できる

バルプラストは専用の修理素材と接着技術が確立しており、下記のことが可能です。

✅追加の歯(増歯)
✅割れ・破損の修理
✅仕上げ直し(リライン)

他社メーカーの多くは、「修理不可・増歯不可」が多いため、バルプラストは「長く使える入れ歯」という大きな特徴があります。

「ナイロン系樹脂」で圧倒的な柔軟性と耐久性

他のメーカーでは「ポリエステル系、ポリプロピレン系など」の素材が使われることが多いのですが、それらの素材と比較しナイロン系樹脂を利用しているバルプラストは次の優位性を持ちます。

✅しなやかで割れにくい
✅薄く仕上げても強度が高い
✅フィット感が良く、装着感が軽い

この“ナイロン特有のしなり”はバルプラスト独自で、硬くて厚みが出がちな他社メーカーより快適性が高いと評価されることが多いです。

汚れが付きにくい構造で「臭い・変色」が起きにくい

バルプラストは「ナイロン樹脂」の性質上、次のような特徴も持ち合わせます。

✅水分を吸収しにくい(低吸水性)
✅プラークが付きにくい
✅口臭・変色が起こりにくい

他社メーカーの中でも 「清潔さ=長く快適」につながりやすい素材 といえます。

当院のバルプラストが「高い評価」を受けるワケ

バルプラストは厚生労働省より認証を受け、国内でバルプラスト義歯を取り扱えるのは正規代理店と取次販売店のみとなります。当院で制作するバルプラストは患者さんからの評価が高く、治療した患者さんからのご紹介で、全国から患者さんが来院されます。評価される理由をご紹介します。

 

非常に高い「審美性」

金属のバネがないノンクラスプデンチャーであっても、どうしても「これ、入れ歯ですよね・・・」と一目で分かってしまうものもあります。当院で制作するバルプラストは「入れ歯を入れれていることに全く気付かれませんでした!」という患者さんの喜びの声をよくいただきます。これは「調和」を大切にしているためです。つまり、他の歯やご自身の歯肉との調和です。これは歯科医師と歯科技工士の技術力により成しえることです。

バルプラスト「認定医」が必ず担当

当院の院長はバルプラスト義歯の経験や実績を評価され日本でも数少ない「認定医」を保有しています。多くの症例に向き合い、様々なケースで実績を出してきましたので、まずはご相談ください。

日本のバルプラストパイオニア「ユニバル」と連携

バルプラストは歯科医師と歯科技工士が共同して制作します。当院では日本で最初にバルプラストを導入した「ユニバル」という歯科技工所さんと連携して制作を行っています。累計30万症例以上の実績があり、日々、技術力を進化させている技工所さんです。

コラム「金属で補強」することで更に耐久性を向上できます!

ノンクラスプデンチャーは、入れ歯のクラスプ(留め具)がないため、見た目が自然で目立ちにくいというメリットがあります。しかし、一方で耐久性に関しては、金属製の入れ歯と比べると劣ることがあるのがデメリットです。

このデメリットを補うために、当院では必要に応じて目立たない部分に「金属」を使用することで、ノンクラスプデンチャーの耐久性を高めています。患者さんのニーズや口腔内の状況に合わせて最適な方法をご提案し、快適さと機能性を両立した治療を心がけています。

入れ歯を検討されている方に院長からメッセージ

私はこれまで、高齢の方の治療に多く携わってきました。その中で、高齢になってからのインプラントの末路を、実際に目の前で見てきました。

年齢を重ねると、
・細かい部分の清掃が難しくなる
・インプラント周囲炎が進行してしまう
・インプラントが破損した際の再治療が難しくなる
といった問題が現れ、せっかくのインプラントが「負担」になってしまうケースも少なくありません。

私はその現場を見続けたからこそ、「患者さんが年を重ねても、最後まで快適に噛める方法は何か」を真剣に考えるようになりました。その答えの一つが、“入れ歯治療の重要性”でした。

入れ歯は、決して昔のような「合わない」「痛い」ものではありません。技術や素材の進化によって、今では軽くて自然で、生活の質を大きく高められる選択肢になっています。特にバルプラストのようなノンクラスプデンチャーは、年齢を重ねても使いやすく、メンテナンスで長く快適に使い続けられる治療法です。

だからこそ私は、“高齢になっても安心して暮らせる口腔環境”を守るために、入れ歯の技術を積極的に学び、今も研鑽を続けています。入れ歯をご検討の方、前向きな気持ちで是非ご相談ください。

初診「個別」相談へのご案内

当院では、患者さんが抱えていらっしゃるお口のお悩みや疑問・不安などにお応えする機会を設けております。どんなことでも構いませんので、私たちにお話ししていただけたらと思います。
ご興味がある方は下記からお問い合わせください。

ご予約・お問い合わせ

03-3219-0525

24時間受付中WEB予約

〒101-0051 東京都千代田区神田神保町
1-2-3水野ビル5F

東京メトロ「神保町駅」から徒歩3分
JR中央・総武線「御茶ノ水駅」から 徒歩5分