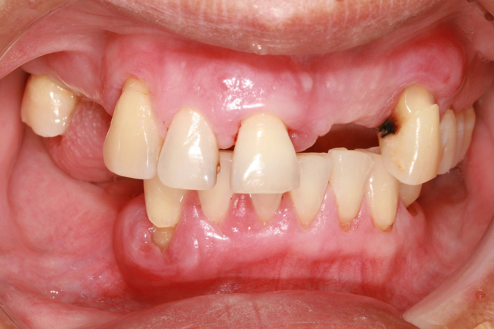
ボロボロの歯の治療

03-3219-0525

キービジュアル

安心できる歯医者
「ボロボロの歯」
治しましょう

次のような方は、ぜひ当院へお越しください。
  • 歯医者が苦手な方
  • お口の中を見られるのに抵抗がある方
  • 治療中の痛みに耐えられない方
  • 勝手な治療をされるのではと心配な方
歯科医院の負のイメージを払拭し、
相談してよかったと心から思える
治療を目指しています。

歯科医院の「痛い」「怖い」「不信感」といったイメージを払拭します

歯がボロボロになってしまう理由はさまざまですが、多くの場合、過去のトラウマから歯科医院への苦手意識を持つことが原因です。

皆さんも次のような経験はないでしょうか?
  • 治療時の独特の「痛み」に耐えられない
  • 歯科医師が一方的で「自分の話」を聞いてもらえなかった
  • 「治療方針」もよくわからないまま、治療を進められた
  • 「無駄な治療」をされた……などなど
こんな思いをしたら、歯医者に行きたくなくなるのも当然です。

当院では、患者さんが安心して治療を受けられるよう、こんな取り組みを徹底しています。

治療時の痛みを軽減

私たちは最新の麻酔技術を用いることで、患者さんの痛みを最小限に抑える努力をしています。細やかな配慮を欠かさず、安心していただけるよう努めています。

説明責任を徹底

当院では、患者さんに治療内容とその理由を詳しく説明し、ご理解と納得を得た上で治療を進めます。ご質問やご不明点があれば、いつでもお気軽にお尋ねください。

精密機器の充実

治療の精度を高めるために、最新の精密機器を導入しています。より安全で効果的な治療をご提供できるよう、日々研鑚を積んでいます。
当院では、患者さんがリラックスして治療を受けられる環境作りに力を入れています。ぜひ、安心してご来院ください。

痛くない・怖くない治療

歯医者の治療と聞いて、「痛い」「不快」「怖い」といったイメージを持っている方は少なくありません。当院では、患者さんが安心して治療を受けられるよう、痛みや怖さ、不快感を最小限に抑える工夫をしています。

表面麻酔で注射の痛みを軽減

注射を行う部位には、あらかじめ麻酔液をしみ込ませ、痛みを和らげます。これにより、注射時の痛みがほとんどなくなります。

ほとんど痛くない「極細の針」

注射の針が細ければ細いほど、痛みを感じにくくなります。当院では極細の注射針を使用しています。これは医療機関向けに提供される中で最も細い針で、安心して治療を受けていただけます。

麻酔液を温める

麻酔液の温度が体温と異なると、その差が痛みの原因となります。当院では、患者さんに少しでも快適な治療を受けていただくため、カートリッジウォーマーという専用の機器を使って、使用前に麻酔液を人肌程度に温めています。

電動注射器

麻酔液を一度に注入すると、歯肉が膨らみ痛みが生じることがあります。このため、適切な速度で一定量を注入することが重要です。当院では、注射の速度を一定に保てる電動麻酔注射器を使用しています。

痛みを最小限にする麻酔の工夫

お口の中には、痛みを感じにくい場所と感じやすい場所があります。当院では、痛みを感じにくい部位から麻酔を開始します。麻酔が効いてくるにつれて、徐々に痛みを感じやすい部分へ注射を進めます。この段階的なアプローチにより、患者さんは注射による痛みをほとんど感じずに治療を受けられます

コラム「不快感」を軽減する5倍速コントラ

歯医者の治療では「タービン」というドリルがよく使われますが、その「キュイ〜ン」という音振動を嫌う患者さんは少なくありません。

当院では、より快適な治療を提供するために、5倍速コントラというドリルをよく使用します。この5倍速コントラは、タービンに比べて歯を削る際の音や振動が最小限に抑えられます。これにより、患者さんの不快感が大幅に軽減されます。

患者さんが治療を選択できるよう、しっかり説明いたします

当院は、どんな治療を受けるかは、患者さんご自身が決定するべきと考えています。

私たち歯科医師は、専門的な視点から最適な治療法を提案しますが、最終的な治療の選択は患者さんが決定します。もちろん、患者さんがしっかり判断できるよう、私たちはしっかりサポートいたします。

歯科治療には、歯を削ったり歯ぐきを切開するなど身体に直接関わる処置が含まれます。そのため、医師の判断だけでなく、患者さん自身が納得して決定することが重要です。
治療法の提案は一つだけではありません。さまざまな選択肢を提示し、それぞれが必要かつ十分な治療であることを丁寧に説明します。理解を深めていただいたうえで、治療を進めていきます。

不明点や不安があれば、どんな小さなことでもご質問ください。ご納得いただけるまで丁寧にお答えいたします。

安心!プライバシーに配慮した半個室診療

当院では、患者さんが安心して治療を受けられるよう、半個室の診療室を完備しています。パーティションによって、周囲を気にせず落ち着いた環境で治療が可能です。治療内容やプライベートなご相談も、他の方に聞かれることなく、リラックスしてお話しいただけます。

充実した「精密機器」

質の高い治療を提供するには、歯科医師の技術が欠かせません。しかし、技術には限界があります。その限界を補ってくれるのが精密機器です。これにより病気の早期発見や再発リスクの軽減が期待できます。

当院の精密機器をいくつかご紹介いたします。

CT

CTは立体的に歯を撮影できる画像診断装置です。この装置を使用することで、レントゲンでは確認できない骨の厚さ、骨の中の歯の状態、神経や血管の位置などを詳細に映像化できます。正確な診断と治療計画を立てるために役立ちます。

マイクロスコープ

マイクロスコープは、歯科用の顕微鏡で、患部を約20倍まで拡大できます。これにより、肉眼では見えない細部まで確認できるため、治療の精度が大幅に向上します。

光学スキャナー

当院では、最新の光学スキャナーを用いて、患者さんのお口の中を撮影し、高精度な3Dデータを作成しています。この装置は小型カメラを使用しており、従来必要だった粘土のような型取り材を使わずに、短時間で型を取ることができます。これにより、詰め物や被せ物の製作から矯正治療のシミュレーションまで、さまざまな治療に迅速かつ効率的に対応可能です。

歯の健康に悩む患者さんへ

「ボロボロの歯」で悩むことは、お口だけでなく身体や心にも影響を与えます。噛み合わせが悪くなると頭痛肩こり、そして腰痛を引き起こす場合があります。また、歯周病は糖尿病、心筋梗塞、脳梗塞、肥満、早産や低体重児出産などとの関連も指摘されています。
  • 糖尿病
  • 心筋梗塞
  • 脳梗塞
  • 肥満
  • 早産/低体重児出産
さらに、心への影響も見逃せません。

歯を気にして人前で話すことが苦手になったり、「食事が楽しくない」、「めいっぱい笑えない」などの状況が続くと、抑うつ状態になる可能性もあります。

だからこそ、当院では「ボロボロの歯」でお悩みの患者さんにお伝えしたいことがあります。

適切な治療を受ければ、美しい歯を取り戻すことが充分にできます。一人で悩まず、ぜひ当院にご相談ください。当院では、強制的に治療をお勧めすることはありません。まずは医院や担当医の雰囲気を感じるためだけでも、気軽にお越しいただければと思います。

初診「個別」相談へのご案内

当院では、患者さんが抱えていらっしゃるお口のお悩みや疑問・不安などにお応えする機会を設けております。どんなことでも構いませんので、私たちにお話ししていただけたらと思います。
ご興味がある方は下記からお問い合わせください。

ご予約・お問い合わせ

03-3219-0525

24時間受付中WEB予約

〒101-0051 東京都千代田区神田神保町
1-2-3水野ビル5F

東京メトロ「神保町駅」から徒歩3分
JR中央・総武線「御茶ノ水駅」から 徒歩5分