
駿河台・デンタルオフィスの
歯周病治療
「“細菌と共に生きる”治療」
スウェーデン・イエテボリ大学方式の
歯周病治療に加え
口内フローラバランスを整える整菌治療を行います。
1本でも多くの歯を残す未来を
実現させています。
歯周病
口内で共生している細菌のバランスが崩れ、歯周病菌が増加して健康常在菌が減少し、歯周組織の崩壊を招いている状態。バランスを元に戻すためには殺菌せざるを得ません。まずは歯周病菌が生きにくい口内環境に整え、その上で殺菌剤を必要最小限使用し、健康常在菌を少しずつ増やす「整菌治療」を行います。
歯周病菌が繁殖しにくい口内環境に整えるには?
歯医者さんのできること
- 1歯石の除去
- 2不良補綴物の除去
- 3矯正
- 4歯磨き指導
患者さまのできること
- 1適切な歯磨き
- 2食習慣(間食を控えるなど)
- 3禁煙
- 4歯科専用漢方やサプリの利用
治療費用:保険診療請求項目に準じた歯周治療を行います。
[保険診療]
※整菌治療は別途自費となります。
スウェーデン発
「ペリオプロ」の利用!
「ペリオプロ」治療
ペリオプロ = “歯周病菌を除去する”治療薬!
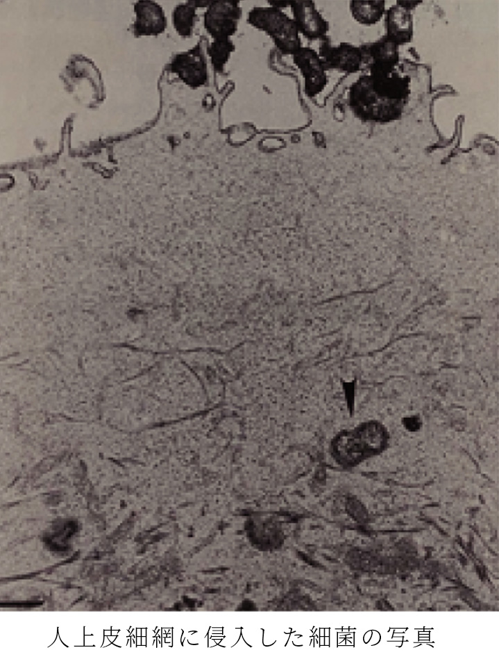
歯周病菌は歯石の中にいると考えられ、“歯周治療は歯石を取れば良い”とされてきましたが、最新の研究で歯周病菌は歯周ポケットの上皮細胞内に侵入しており、歯周病菌の除去には歯石除去に加え歯周ポケット上皮を歯周病菌ごと剥がし取る必要があることがわかりました。これを可能にするのがスウェーデン・イエデボリ大学で開発された「ペリオプロ」治療。殺菌力は「クロルヘキシジン」の倍以上あり、歯石除去後の歯肉の再付着を容易にします。保険診療で治療が長引いている方、また痛いことが嫌いで「麻酔をして歯石除去を何度もやるのは嫌!」という方にもおすすめです。

治療費用:1時間/15,000円(税込)
(歯石除去+ペリオプロ+レーザー)
[自由診療]
口臭の改善(虫歯・歯周病など原因はさまざま)
口臭について内科的問題(消化器疾患、シェーグレン症候群、鼻疾患、糖尿病、腎臓病、尿毒症など)がなければ、ほとんどが口腔内に問題があると思われます。
- 虫歯
- 根っこに問題のある
歯の放置 - 舌苔を含めた歯周性疾患
- ストレス
- 開口
- 口呼吸による口腔内乾燥
- そしゃく能力の
欠如・低下による唾液不足
- 食生活の乱れ
- 偏食
- そしゃく方法や
飲み込み方法の問題
- 歯列不正・親知らずなど
口腔内衛生環境の悪化
- その他
不適合な入れ歯や
被せものなど
実践してみよう!
口臭は生活リズムや食習慣と関わりが深く、唾液の量が低下して口が乾くことで口臭は強くなります。日常生活で改善することもありますので、ぜひ参考にしてみてください。
ひとくちの
そしゃく20回
さらさらした唾液の分泌促進につながり、舌もよく運動するため舌苔がつきにくくなります。
唾液腺を
マッサージ
耳の前にある耳下腺とあごの下にある舌下腺・額下腺をやさしくマッサージしてみましょう。
できるだけ
水を飲む
唾液のもととなる体の水分が不足しないように気をつけましょう。
本当はかなり怖い
「歯周病」という病(やまい)
歯周病はお口の中だけではなく、全身疾患との関連性もあります。
(右図)
(下図)

歯周病との関連で特によく言われるのが「糖尿病」「心臓病」「アルツハイマー」です。
糖尿病
重度の歯周病の場合、2年後に糖尿病が悪化している率が軽度の人に比べて5倍高くなります。
心臓病
歯周病菌の作りだす物質が血液中に流れて動脈硬化を引き起こすと考えられており、心筋梗塞や狭心症の原因に。健康な人に比べて心臓病発症の危険率が2.8倍と言われています。
アルツハイマー
歯周病菌が体内に侵入し、認知症の7割を占める「アルツハイマー型認知症」の原因因子である「アミロイドβ」の脳内レベルを上げ、認知症を増悪させていることを九州大などの研究チームが解明しました。
研究が進み、今や歯周病は口内だけの病気ではないというのが専門家の共通認識。「歯周病=命にかかわる場合もある」という認識の転換が必要です。
根端性歯周組織炎
何らかの原因で歯の神経が死滅し、感染が起きて根の先で膿が溜まっている状態。進行すると骨に穴が空き、さらには歯肉にも穴が空いて、口内に常に膿が出続けることに…。マイクロスコープや拡大鏡を使用した治療が必須です。
治療費用:保険点数に準ずる
[保険診療]